Skin Organoid Culture Method
Kangstem Biotech has developed a proprietary skin organoid technology that delivers structurally
and functionally superior, high-purity organoids with enhanced similarity to native human skin,
surpassing conventional skin organoid generation methods.
Air-Liquid Interface(ALI) Culture
The air–liquid interface (ALI) culture system used in skin organoid development allows the epidermal layer
to be directly exposed to air while the underlying skin layers remain in contact with culture medium.
This configuration provides a microenvironment that closely resembles physiological conditions of native human skin.
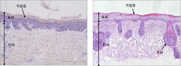
Structural Recapitulation of Human Skin in Skin Organoids
Reconstruction of an integrated epidermal, dermal, and subcutaneous adipose layer
Skin organoids are composed of the epidermis, dermis, and subcutaneous adipose tissue,
mirroring the layered architecture of human skin.
Through controlled dry conditions, the platform further enables the formation of a functional stratum corneum,
achieving a high level of structural and biological similarity to native human skin tissue.
Reproduction of key structural features of human skin
Kangstem Biotech produces mature skin organoids that recapitulate not only the layered skin architecture
but also essential structural features of human skin, including hair follicles, sebaceous glands, and melanocytes.
Application
Skin organoids serve as an integrated human skin evaluation platform,
supporting a wide range of applications across pharmaceutical, cosmetic,
and regenerative medicine research, as well as efficacy and toxicity assessments.
This platform enables diverse experimental and research applications, including drug efficacy evaluation,
drug toxicity testing, hair loss treatment efficacy analysis, regenerative medicine research, skin disease modeling,
and cosmetic efficacy assessment. By providing responses that more closely reflect native human skin biology,
the platform allows for precise evaluation of candidate compounds’ efficacy and safety,
thereby enhancing the reliability of research and product validation.

